ウッディデンタルクリニック

TEL0952-66-6480

ホワイトニング

オフィスホワイトニング

● 料金 ¥16,500(税込) ● 施術時間(60分程度)

歯科医院で行うホワイトニングで、すぐに歯を白くすることができ即効性を求める方に最適です。ホワイトニングの前に来院して頂き、お口の中の状態をよく確認していきます。
虫歯があったり、歯石が着いている場合は、安全に治療をするため保険治療をしてからホワイトニングの施術になります。

※ホワイトニングについて

専用の薬剤を歯の表面に塗布し、特定の波長の光(LED)を照射します。この光が薬剤の成分と反応し、歯の表面に付着している色素を分解・除去する事で歯を白くします。

ホワイトニング施術

オフィスホワイトニングのメリット

  • 即効性がある
  • 歯が白くなることで清潔感が増す
  • しっかりカウンセリングをして口腔内環境をチェックしてからホワイトニングをするので安心して施術を受けられる

オフィスホワイトニングのデメリット

  • 施術後24時間以内は色の濃ゆい食べ物、飲み物の禁止(色戻りするため)
  • 場合により、しみることがある
  • 神経のある歯が対象となるため、差し歯や失活歯の色は変わらない
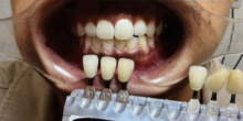
ビフォー
ビフォー
矢印
アフター
アフター

ホワイトニング後は、半年おきぐらいに施術されると白い歯を保つことが出来ます。ホワイトニング専用の歯磨き粉などを使用されることもおすすめしております。